Prótese Dentária

Área da odontologia que visa recuperar elementos dentários danificados ou perdidos devolvendo ao paciente as características e funções mastigatórias, estéticas e fonéticas, além de recompor e proteger funções articulares.. Podemos reabilitar através de trabalhos que vão desde próteses unitárias (um dente apenas), próteses sobre implantes, próteses totais e até uma reabilitação oral (envolvendo todos os dentes). Hoje ainda, com novas tecnologias, podemos realizar próteses mais estéticas e com ótima adaptação.

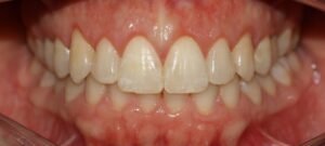
COROAS

 

É uma restauração cimentada que recobre ou reveste a superfície externa da coroa clinica. Deve reproduzir a morfologia e os contornos das porções coronárias danificadas do dente enquanto desempenha suas funções.

PRÓTESE PARCIAL FIXA

 

As próteses fixas são comumente utilizadas para substituir um ou mais dentes ausentes. Elas preenchem o espaço onde não há dentes e são cimentadas aos dentes naturais ou implantes adjacentes ao espaço vazio. Esse tipo de restauração há muito tempo é chamada de ponte. Pode ser confeccionada em metalocerâmica, metaloplástica e porcelana.

INLAY/ONLAY (BLOCO)

Onlays e Inlays são usados na reconstrução parcial de um dente, de uma forma estética. Dentes com grande destruição, seja por cárie ou fratura, precisam ser restaurados com um material mais resistente, a porcelana. Onlays e Inlays, também conhecidos como bloco, são cópias da estrutura que foi destruída, feitas em laboratório, devolvendo a forma original do elemento.

PRÓTESE TOTAL

Próteses totais, popularmente conhecidas como dentaduras, são substitutos para os dentes ausentes que podem ser retiradas e recolocadas na boca.
Embora leve algum tempo para que o paciente consiga se habituar a utilizá-las, e embora nunca sejam exatamente iguais aos dentes naturais, atualmente elas oferecem uma aparência muito natural. No caso de próteses totais, uma base acrílica da cor da mucosa bucal se apoia sobre sua gengiva. A base da prótese superior cobre todo o palato (céu da boca), enquanto que a prótese inferior é confeccionada na forma de uma ferradura, a fim de permitir espaço livre para acomodar sua língua. As próteses são feitas sob medida em laboratório.

PRÓTESE SOBRE IMPLANTE

Quando uma pessoa perde um dente, ou alguns dentes, a reposição é necessária para não causar deslocamentos dos dentes vizinhos e desarmonia em seu sorriso e mastigação.
Hoje em dia, a melhor maneira de se repor esses dentes faltantes, é com a instalação de implantes dentários.
O implante dentário fará a função da raiz, fixada permanentemente no osso, e depois o dente (coroa) será conectado neste implante.

As coroas sobre implantes são aquelas que estão sobre os implantes que o cirurgião previamente instalou. Uma vez passado o período de osseointegração do implante, o dentista fará a moldagem do mesmo para confecção da prótese sobre implante. Estas coroas podem ser aparafusadas ou cimentadas.

PROTOCOLO DE BRäNEMARK

 

É um tipo de tratamento que promove a reabilitação oral completa de pacientes que perderam todos os dentes da arcada e sofrem com reabsorção óssea. A reabsorção é um processo fisiológico do organismo, que se inicia após a perda do dente ou até mesmo antes, em casos de doenças periodontais.

Infelizmente, quando a perda óssea é extensa, nem sempre é possível instalar um implante (parafuso de titânio fixado no osso) para cada dente perdido, sendo assim é necessário distribuir de 4 a 6 implantes pela arcada que irão sustentar uma prótese total fixa com uma barra metálica por dentro, o que chamamos de Protocolo de Bränemark

Últimos posts

Bruxismo: o novo mal do século

O bruxismo (apertamento ou ranger dos dentes) é um hábito muito mais comum do que se imagina. Estima-se que 40% da população brasileira sofrem com

Perdi todos os dentes, e agora?

Se você tem pesquisado sobre implantes dentários, já deve ter se deparado com o termo “Protocolo de Bränemark”. Este é um tipo de tratamento que

implante imediato

O que são implantes imediatos?

É quando conseguimos instalar o implante no mesmo dia da extração do dente perdido. Além de rapidez no tratamento, esta técnica traz benefícios importantes para

Já ouviu falar em Sorriso gengival?

São pacientes que ao sorrir mostram muita gengiva tirando a harmonia do sorriso. O  sorriso gengival não traz problemas à saúde bucal, mas costuma gerar