Sorriso Gengival

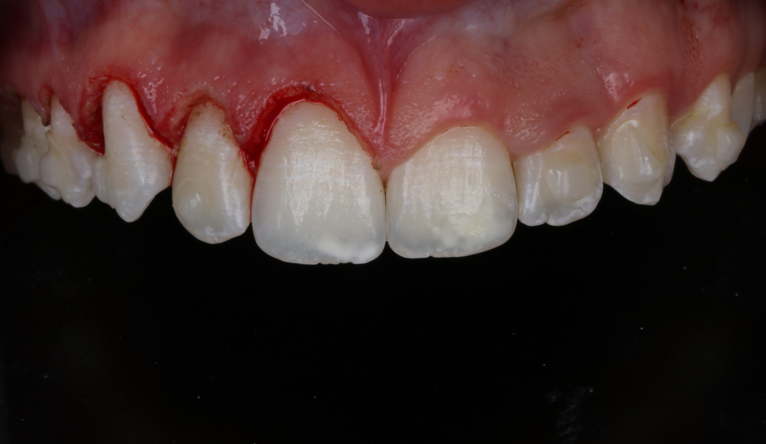
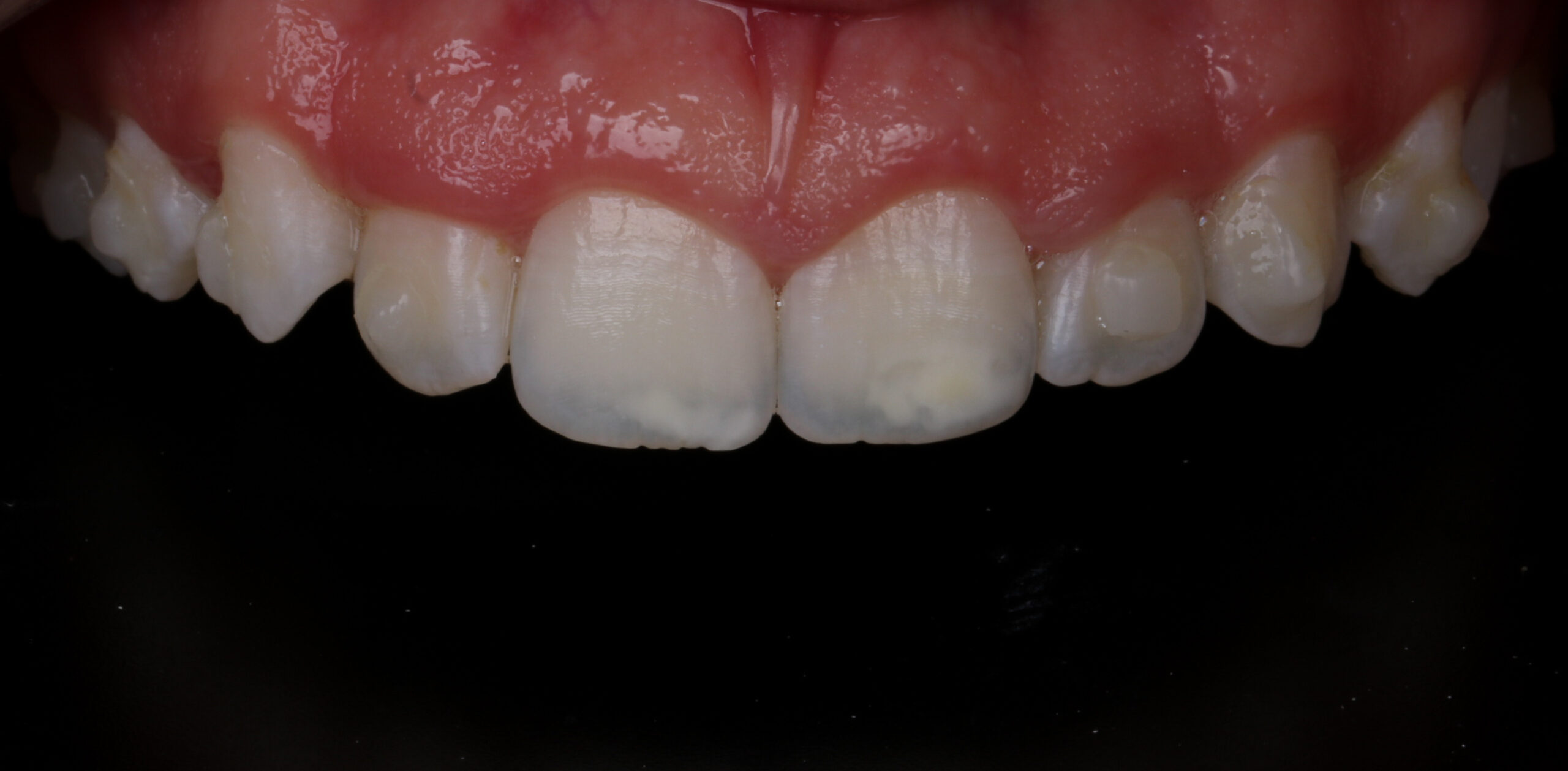
Sorriso Gengival é quando a gengiva superior fica exposta demais quando a pessoa sorri. O excesso de gengiva pode comprometer a proporção entre gengiva, dente e lábio, comprometendo assim a harmonia do sorriso.

Esta situação não causa risco nenhum à saúde do paciente, o único problema pode ser o desconforto estético. O problema pode ser genético ou pode se desenvolver durante o período de crescimento da pessoa devido ao alongamento da face. Ou ainda através de inflamações na gengiva ou uso de alguns medicamentos.

É preciso uma avaliação do dentista para descobrir como tratar tal desconforto.

  • Gengivectomia e gengivoplastia: cirurgia em que o excesso de gengiva é removido visando restabelecer o contorno harmônico da margem gengival, expondo mais a coroa clínica dos dentes.
  • Cirurgia ortognática: é uma solução definitiva em que a altura da maxila é diminuída.É realizada em ambiente hospitalar após o adequado preparo ortodôntico.
  •  Aplicação de toxina botulínica (Botox e outras marcas): Com uma pequena aplicação de cada lado da face, o músculo responsável por tracionar o lábio superior para cima e, consequentemente expor a gengiva em demasia, recebe um bloqueio químico e tem sua atividade diminuída. Este tratamento não é definitivo, pois a toxina deve ser reaplicada de 4 a 6 meses, aproximadamente.
Últimos posts

Bruxismo: o novo mal do século

O bruxismo (apertamento ou ranger dos dentes) é um hábito muito mais comum do que se imagina. Estima-se que 40% da população brasileira sofrem com

Perdi todos os dentes, e agora?

Se você tem pesquisado sobre implantes dentários, já deve ter se deparado com o termo “Protocolo de Bränemark”. Este é um tipo de tratamento que

implante imediato

O que são implantes imediatos?

É quando conseguimos instalar o implante no mesmo dia da extração do dente perdido. Além de rapidez no tratamento, esta técnica traz benefícios importantes para

Já ouviu falar em Sorriso gengival?

São pacientes que ao sorrir mostram muita gengiva tirando a harmonia do sorriso. O  sorriso gengival não traz problemas à saúde bucal, mas costuma gerar