O bruxismo (apertamento ou ranger dos dentes) é um hábito muito mais comum do que se imagina. Estima-se que 40% da população brasileira sofrem com esse desconforto. Esse hábito pode ocorrer tanto em vigília quanto a noite, provocando enxaqueca, dores musculares e dentes trincados.
Além de um simples incômodo, o bruxismo pode deixar os dentes doloridos e, em casos mais graves, pode causar desgaste da estrutura dentária, destruição do osso circunvizinho, do tecido da gengiva e até mesmo prejudicar a articulação da mandíbula.
Apesar de ser um hábito inconsciente, o bruxismo afeta diretamente o dia a dia. O paciente pode ter sua rotina alterada devido às noites mal dormidas por conta das dores e do ranger de dentes. Em geral, o diagnóstico de bruxismo é realizado por um dentista, após queixas do paciente ou relatos de algum parente que observa o ranger dos dentes ao dormir
O bruxismo é uma doença multifatorial e muitas vezes os fatores externos, como o stress, ansiedade, estilo de vida e as preocupações do dia a dia, são o fator crucial para desencadear o hábito. No entanto, a má oclusão dentária, ausência de dentes, restaurações muito extensas e/ou mal adaptadas podem agravar ainda mais esse estímulo.
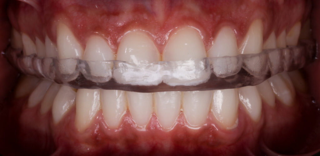
Tratar o bruxismo é complicado pois não tratamos a causa (hábito) e sim os sintomas. O tratamento pode ser feito com uso de placas protetoras que auxiliam a diminuir o hábito gradativamente e impede o desgaste dos dentes. E/ou o uso de toxina botulínica, a qual atua relaxando os músculos e a articulação. No entanto, é importante ressaltar que o tratamento deve ser sempre multidisciplinar, considerando que a causa do bruxismo pode ser de origem psicológica, como stress e ansiedade.
Tanto o tratamento com placas, quanto a toxina podem ser realizados no consultório odontológico, onde também é possível restabelecer a estrutura dental afetada através das facetas e lentes de contato.





